UK +4428 90 667 878  ROI 01 968 2000 
ROI 071 916 2649 
ROI 01 968 2000 
Treatments from £250*
Are you troubled with painful, itchy leg veins or simply fed up with their unsightly appearance? At Kingsbridge Private Hospital our team of Vascular Surgeons are here to help.
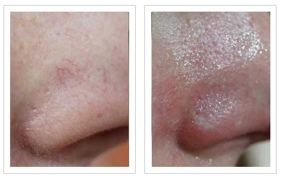
ThermaVein offers instant, safe and permanent treatment for vascular blemishes, red veins often referred to as thread veins or spider veins and medically referred to as ‘telangiectasia’. Red veins are cosmetically unsightly and are too fine to be treated in the same way as larger veins. This treatment is suitable for all skin types.

ThermaVein Treatment Summary
Procedure Time
One treatment takes 15 minutes a second treatment may be required after 4 weeks.
Result Effect
Some veins will disappear straight away, however, the number of treatments required depends on the size, area and number of veins. Your practitioner will advise you on how many treatments will be required.
Result Duration
ThermaVein thermo-coagulation device is FDA approved with clinically safe and effective results.
Anaesthetic
No anaesthetic is required, all patients have a different pain threshold, some people may feel a slight discomfort. ThermaVein is a much more comfortable experience compared to lasers and IPL.
Back to work
You can resume normal activity immediately following the treatment.
Sensitivity
Following the treatment there may be some redness or sensitivity 24-48 hours post treatment.
Risks and complications
There is a chance of bruising, swelling and tenderness post treatment.
Who performs the treatment?
One of our doctors or trained practitioners will perform the treatment.
ThermaVein treatment is also suitable to treat spider veins on the legs.
We are confident we have the safest, permanent treatment for telangiectasia, more commonly referred to as Thread Veins or Spider Veins. ThermaVein is the only FDA approved treatment for Facial Thread Veins.
Our ThermaVein technology delivered the results we wanted and has quickly become the acclaimed thread and spider vein treatment by healthcare professionals-worldwide.
ThermaVein uses a process known as Thermocoagulation which seals the thread vein walls, causing them to instantly and permanently disappear and is commonly used in conjunction with Sclerotherapy.
The simple difference between us and our competitors is that a very low current of 4MHz is used during treatment. The low current and the fact that we do not treat the blood means ThermaVein is safe, immediate and simple to operate.

*Please note that Surgery and Treatment Prices are for guidance only. Prices may be subject to change and will be dependent on the procedure recommended by your Consultant.
Patient Testimonials
"I am extremely happy with the treatment, and with the standard of care I have received. There is no doubt as to whether this treatment is highly effective. I have had several cosmetic surgeries (although not on my face) but can say in comparing the results of the Spring Thread procedure with other less invasive treatments, the results are more in keeping with the surgical procedures I have had." Spring Thread Patient Review, Cosmetech at Kingsbridge Patient
"I had surgery here at the weekend and I can't recommend this place highly enough. They took great care of me and kept me at ease throughout my stay. The staff were brilliant, really friendly and chatted away and the food was top class. This hospital was better than any hotel I wonder could I book a weekend away in it when I fully recover?" Mr McGinnity, Kingsbridge Patient
"EXCELLENT - Had surgery today under the very caring Dr Stewart and her team. I cannot thank her enough for all she’s done for me over the past few months. Everything was explained to me in detail and all my care was considerate, professional and compassionate. Everyone I’ve met today has been beyond kind from Will the Anaesthetist, the Nurses and theatre staff, the catering staff - there has been no exception. Thank you all for taking care of me so well today - look forward to getting home tomorrow x" Mrs McAleavey, Kingsbridge Patient
"Hospital spotless and clean. Staff were so caring couldn’t do enough for me and made sure I was comfortable. Give the place 10 out of 10. Had surgery yesterday and treatment was first class" Ms Demirtas, Kingsbridge Patient
"Their service was excellent and convenient location!" Ms Kneale, Kingsbridge Patient
"Just received surgery at this hospital and I couldn't have been made to feel any more comfortable from the minute I stepped in until the minute I left. All the staff are wonderful and so friendly I will highly recommend this hospital to everyone" Ms McGivern, Kingsbridge Patient
"Had eye surgery here twice for cataracts and lens replacement. Super smooth service from start to finish. Very happy" Ms Jones, Kingsbridge Patient
"As hospitals go this one is pretty amazing! Had surgery with Mr Molloy at the end of October and have another one the end of this month. Mr Molloy is a gentleman who puts you at ease right away and ensured my last procedure went smoothly! From start to finish all the hospital staff go above and beyond to make your stay as comfortable and stress free as possible. The facilities are brilliant with the rooms spacious and modern to recover in. Keep up the good work!" Ms Roulston, Kingsbridge Patient
"My mother had a total hip replacement surgery. We stayed for three days and were discharged today. Honestly, words can't describe the quality of the job and care they do. The doctors Roger Wilson, Sherman, David, the nurses Susan, Sinead, Siobhan, Andrea, the catering staff who provided customised halal food, and the remaining team whose names I cannot remember were the kindest, nicest, politest, the most caring, professional and pleasant people we have ever come across in healthcare environment. These are true gems and real stars. We are indebted to their treatment.
They are 7 star people. We love you!" Mr Yourish, Kingsbridge Patient
"Great friendly staff the nurses go way and beyond. The hospital is spotless, and the service is second to none." Ms Croke, Kingsbridge Patient
"Currently just back from recovery on the ward. I have just had ACL reconstructive surgery on my left knee. What can I say? This place is brilliant. I arrived at 8.35am, taken to the ward at 8.45am (my admission time was 9am). Tended to by a lovely Nurse. Dr Roger Wilson spoke to me around 9.45am, in Theatre for 10am, recovery for 11.10am and now currently back on ward. These guys are awesome. From the consultant to anaesthetist to nurses to cater assistants. Absolutely brilliant. Thank you so much. I am so grateful to everyone at Kingsbridge for the service." Mr McNicholl, Kingsbridge Patient
"I just had a total hip replacement done by Mr Molloy. He made me feel totally at ease (a real gentleman). I had 1st class treatment and as for the staff they couldn’t do enough for me. My experience was excellent from the time I arrived until the day I left for home. Thanks a million to all involved." Miss Bennett, Kingsbridge Patient
"Excellent experience with Kingsbridge Hospital, my dad had a day procedure here recently and not only did he receive fantastic care, but so did myself and my mum. The staff were so understanding and without saying anything could see I was looking after my mum also who has dementia, they went above and beyond to make the time spent waiting on my Dad as pleasant and stress free as possible, I will never forget the extra mile they went to, to support us. Many thanks x" Ms Forde, Kingsbridge Patient
"I have just been discharged from Kingsbridge today after surgery and was in for 3 days. From start to finish my experience was excellent. From catering staff up to senior nurses and doctors they were all fantastic and made my stay a positive experience. As a nurse myself I probably have high expectations of care and I certainly experienced the best of care in Kingsbridge who have staff they should be proud off. Great teamwork." Ms Armstrong, Kingsbridge Patient
"I recently had my gall bladder removed. All of the staff I had to deal with were excellent and professional. It was the best treatment I have ever received." Ms Burrows, Kingsbridge Patient
"I got my tonsils out yesterday, all the staff were so pleasant and nothing was too much for them. I really did receive one to one care. They just had so much time for me. The food was lovely and the staff from the kitchen where first class. Glad I received my surgery here." Miss Wright, Kingsbridge Patient
"The service and staff are first class. Had my cataract operation done on the 20th of January and I would like to thank all the staff of this fantastic hospital for giving me my life back. You are all a credit to your profession. Excellent service and I would highly recommend you. Once again thank you so much and I am truly grateful to you all." Mr Doolan, Kingsbridge Patient
"Amazing 5-star hospital. Have had other surgery here before on my back.
Yesterday's was a neck disc replacement operation. I would highly recommend this hospital like a hotel manner. Thanks again guys." Mr Phillips, Kingsbridge Patient
"I recently got an MRI scan at Kingsbridge and was very impressed with how simple the process was and how little time I had to wait. The staff were friendly, and it was an all-round pleasant experience." Mr Sharkey, Kingsbridge Patient
"Can’t praise Kingsbridge Private Hospital enough!! I had an operation a couple of weeks ago and I was so well looked after. My surgeon Mr Rashid was fantastic, and the nursing staff was also fabulous. I found they communicated very well to each other, so everyone knew when my meds were due, my allergies etc. They were so kind, so lovely, constantly checked to see how I was i.e. my temperature etc. The food was fabulous and the catering staff very helpful having had an operation were very happy to accommodate ... Thank you to all!" Ms Cheong, Kingsbridge Patient
"Staff very friendly and very efficient. Surgeon and surgery top class. Big thanks to the Nurses for all their care and patience" Mr Howard, Kingsbridge Patient
"I was in your facility yesterday for a day procedure (operation on my left arm). I wanted to write and express how impressed I was with the facilities and more importantly the staff on the Ward.
Everyone was excellent, and I mean excellent, i don't normally write congratulatory e-mails so this is high praise in my view. The Senior nurse was excellent, as was the Theatre nurse and the anaesthetist. Even the assistants that helped with catering and other duties. All came together to form a great impression of the establishment." Jason Carpal Tunnel Surgery, Kingsbridge Patient
"Very well satisfied with everyone at my appointment - firstly with reception who were very friendly and helpful, secondly with Mr Cusick who took his time to explain everything to me and finally One2One with Rose who organised the dates for my pre op and operation. I would highly recommend Kingsbridge Private Hospital." Patient Review, Orthopaedic Clinic
"When I attended Kingsbridge Private Hospital on the 14th May for a knee replacement the care I got was fantastic from entering the door until I was discharged on the 16th May. The surgeon Mr Laurence Cusick and his team was absolutely fantastic, the nurses and the rest of the team you couldn’t ask for better and the food was very good" Paitent Review , Knee Replacement Clinic
"My first knee replacement was October 2023, and this was done the manual way. The pre and post op was fantastic for both! There was almost no pain in my hip or rest of my body after the second surgery which was a huge difference compared to my first knee. I was able to continue my physio as normal and I noticed I had more movement a lot sooner with my second knee, the robotic assisted. I could not thank the staff enough and Mr McCaffrey for how kind and understanding, attentive they were. From the beginning, I felt heard, and understood. The nurses, the caterers, the physios, the doctors, pharmacists, it is top class care! Overall, in summary, I would highly recommend going for robotic assisted. It’s still a serious surgery, so pain is to be expected and recovery is not going to be rosy, but it is worth it. The relief I have now in both knees, walking without that bone-on-bone pain, I am grateful. And the robotic assisted was a noticeably less painful, faster recovery. " Robotic Assisted Knee Replacement , Kingsbridge Hospital North West Patient